
Нейронавігація — порятунок для здоров’я
Сучасна медицина рятує життя тоді, коли має доступ до передових технологій. Саме таким прикладом стала успішна операція в Klinika Neurochirurgii USK Białystok, що стала можливою завдяки обладнанню, закупленому в межах проєкту «Нейродосконалість без кордонів», що реалізується за підтримки Європейського Союзу в межах Програми Interreg NEXT Польща–Україна 2021–2027 Interreg NEXT Poland – Ukraine.

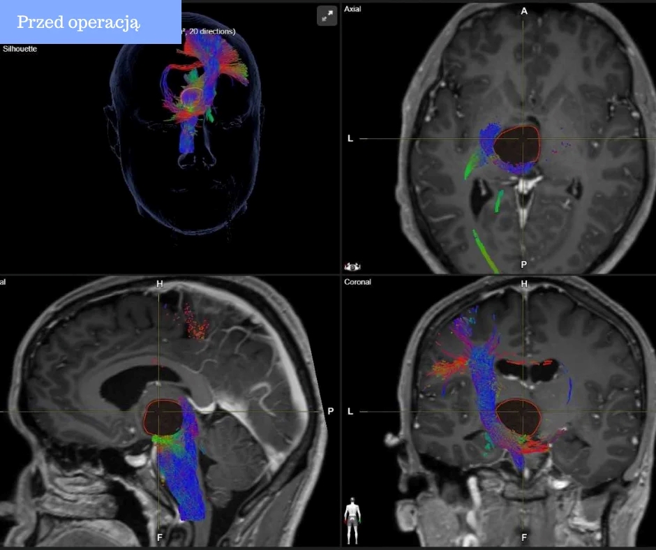
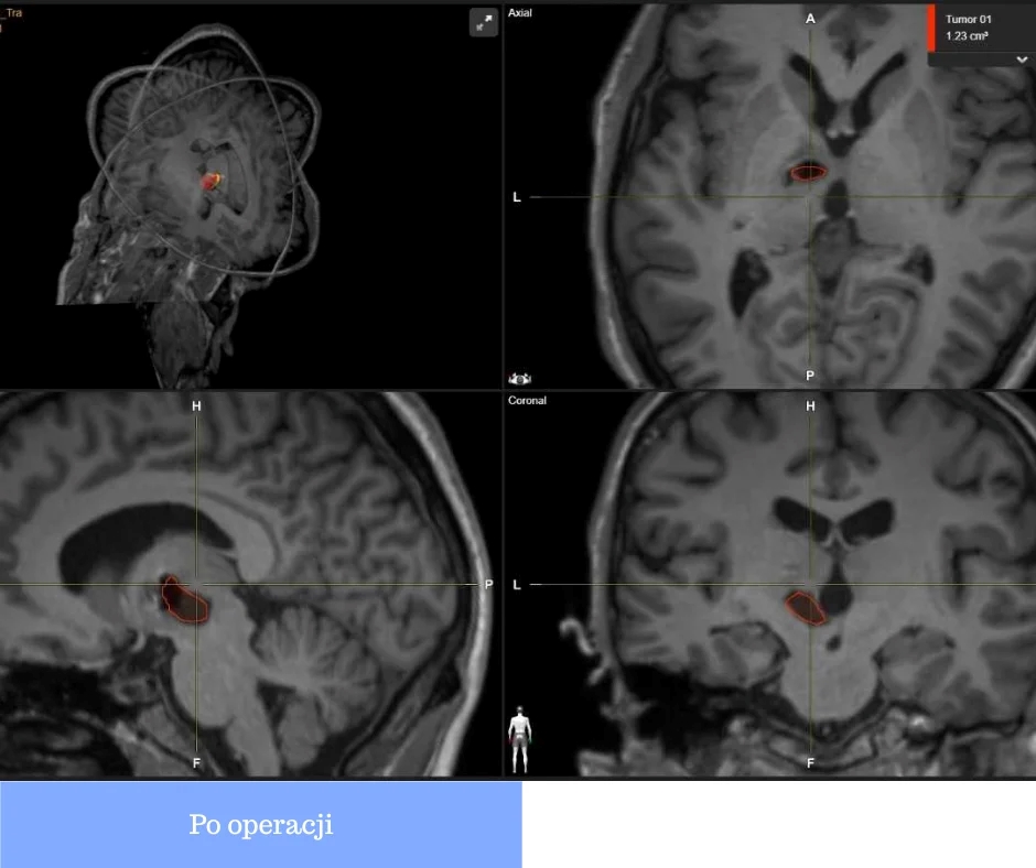
🔬 У рамках проєкту NeuroExcellence/Нейродосконалість без кордонів лікарню було оснащено високоточною системою нейронавігації. Це інноваційне обладнання дозволяє нейрохірургам працювати з максимальною точністю, мінімізуючи ризики для пацієнта, уникати складних та травматичних втручань і значно скорочувати період відновлення.
Саме нейронавігація стала вирішальним фактором під час надзвичайно складної операції, коли лікарі змогли провести мінімально інвазивне втручання замість небезпечної трепанації черепа. Завдяки точному доступу через голку всього 2 мм операція пройшла успішно.


👤 Коротко про пацієнта: 30-річний чоловік мав серйозні порушення мовлення, зору та координації через ураження в головному мозку. Уже після операції його стан різко покращився — він знову почав вільно говорити та повернувся до нормального життя.
✅ Менше ускладнень
✅ Вища безпека
✅ Швидше відновлення
✅ Реальні збережені життя
Цей випадок — яскравий доказ того, що інвестиції у сучасну медичну інфраструктуру, міжнародна співпраця та підтримка інновацій безпосередньо впливають на якість лікування і рятують життя.
🔗 Детальніше — за посиланням: 👉 https://tiny.pl/4-zx9v06
Interreg #InterregPLUA #INTERREGPOLANDUKRAINE #PolskaUkraine #ПольщаУкраїна #EU #EuropeanCommission

